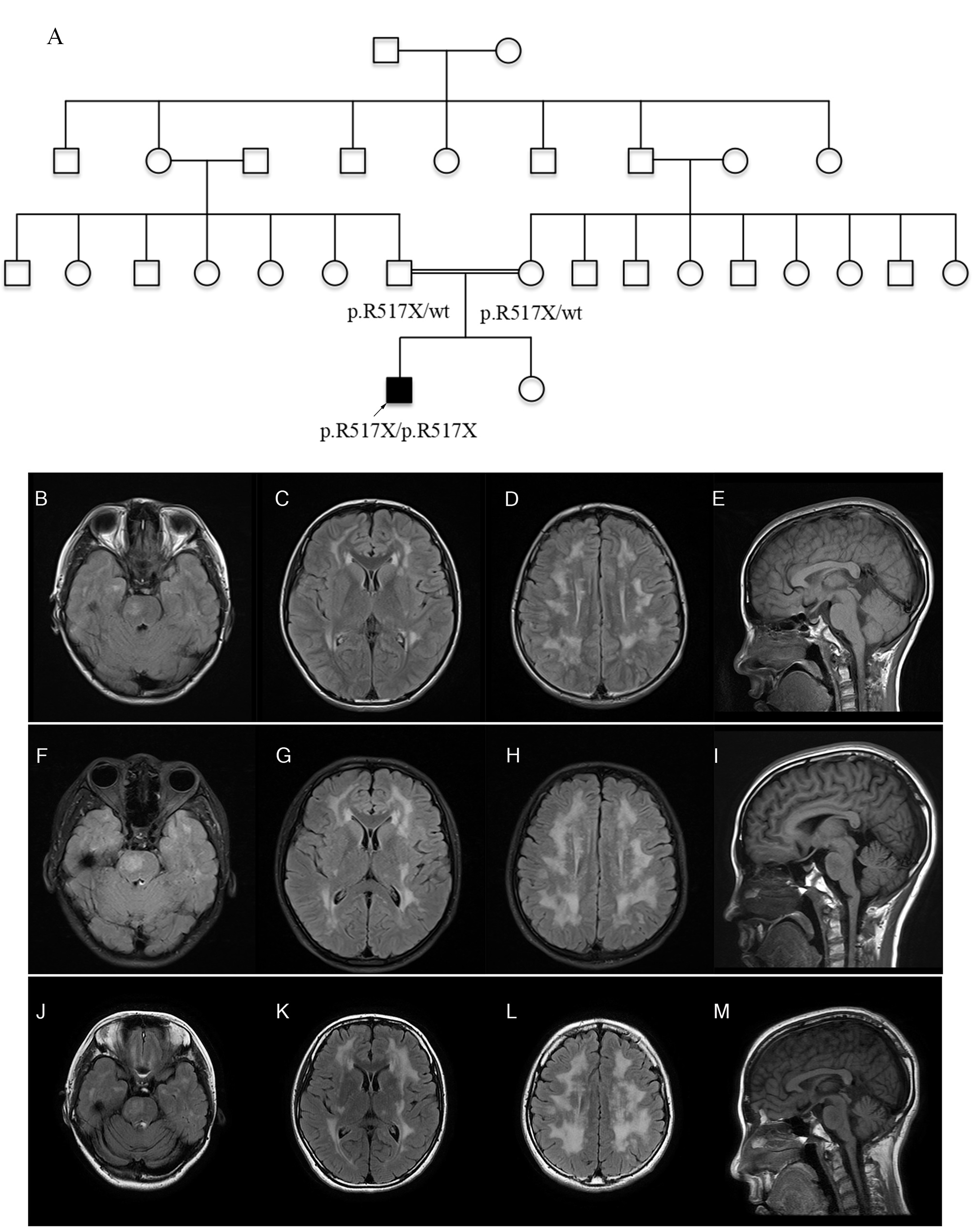
RNF216-related disorder is a rare neuroendocrine disease resulting from RNF216 gene mutations with diverse symptoms and inheritance pattern. This study reported a new case with a novel causative RNF216 variant and reviewed all individuals with causative RNF216 variants in previous reports. We found that ataxia was the most frequent initial symptoms in individuals under 30 years old, while chorea was the most frequent initial symptom in individuals over 30 years old. Over 90% of individuals presented with cognitive impairment and hypogonadotropic hypogonadism throughout the disease. Furthermore, the majority of RNF216 variants affect the RBR domain or C-terminal extension. (https://jmg.bmj.com/content/early/2023/11/27/jmg-2023-109397 )
Clinical and genetic spectrum of RNF216-related disorder: A new case and literature review (Contributed by Dr. Chujun Wu)
(Visited 154 times, 1 visits today)
