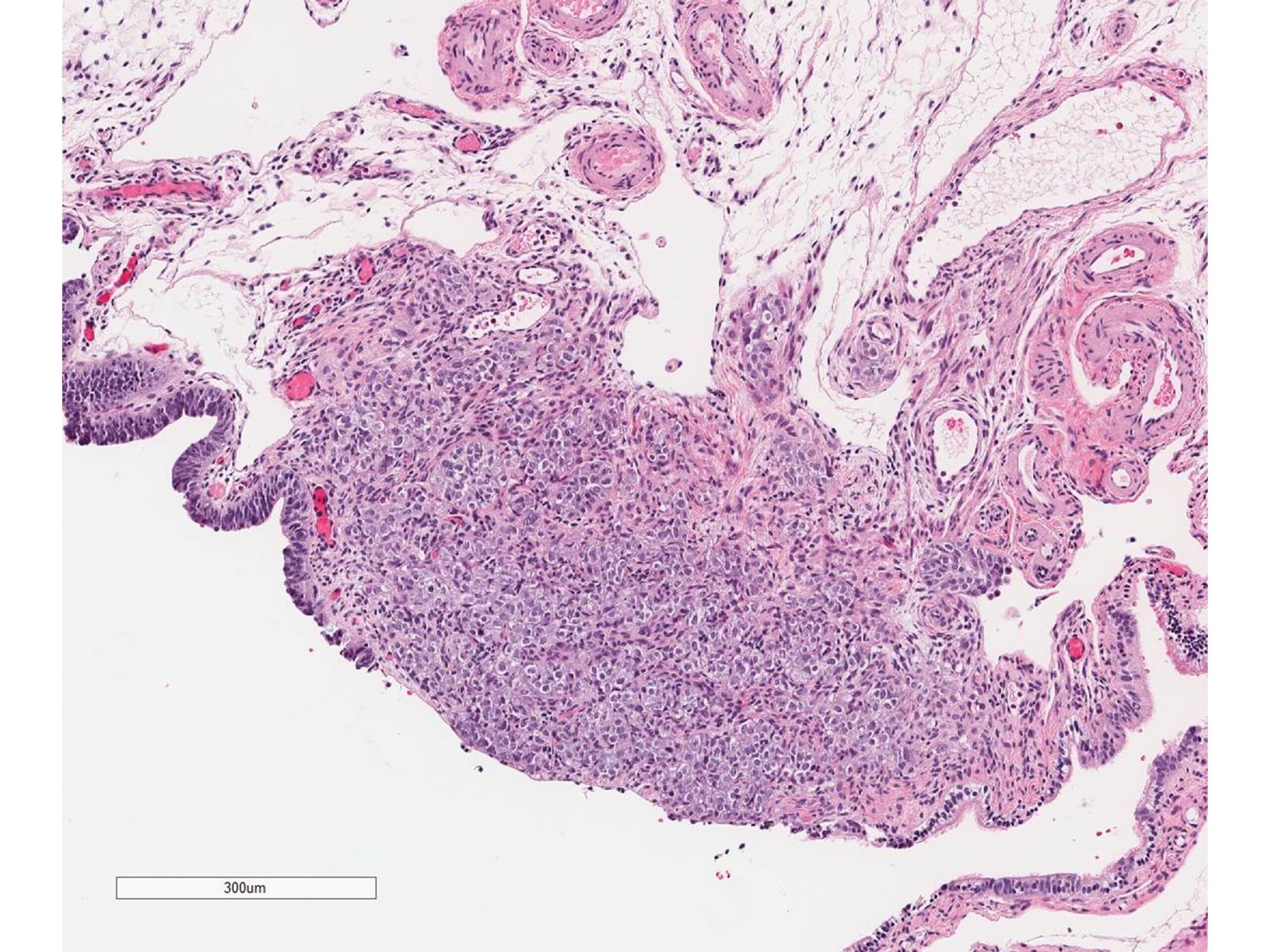
Germline pathogenic variants in BRCA1 or BRCA2 genes increase the risk of ovarian high grade serous carcinoma, the most common and most lethal subtype of epithelial ovarian cancer. Carriers of these genetic variants are usually offered surgery known as risk-reducing salpingo-oophorectomy (RRSO) where the Fallopian tubes and ovaries are removed. We report the case of a woman carrying a germline pathogenic variant in BRCA1 who received RRSO but developed peritoneal cancer 15 years later. We reveal through DNA sequencing and analysis that the peritoneal cancer is a recurrence of a Fallopian tube cancer that was missed on initial pathologic examination. (By Drs. Setor Amuzu, Lili Fu, and William D Foulkes, https://jmg.bmj.com/content/early/2022/01/16/jmedgenet-2021-108269 )
Related story by Sarah DeWeerdt: As the fallopian tubes come to the fore as the source of the most common form of ovarian cancer, researchers and clinicians are devising strategies to prevent the disease. https://media.nature.com/original/magazine-assets/d41586-021-03717-7/d41586-021-03717-7.pdf
