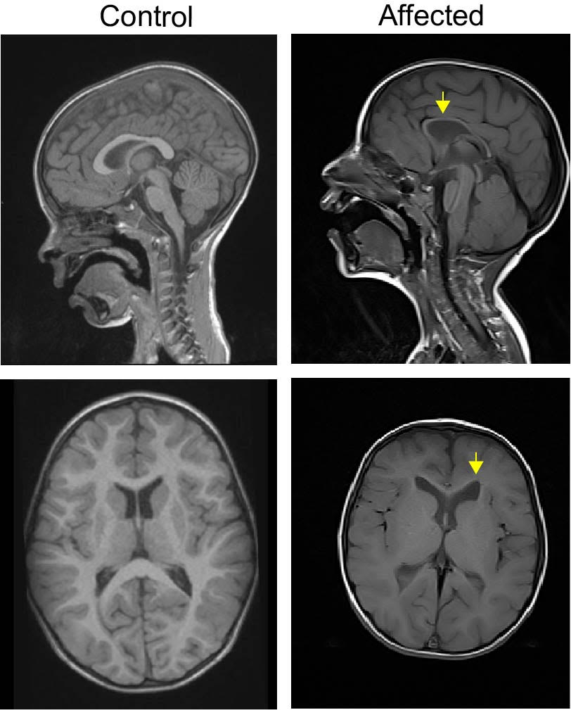
The overlapping and non-specific symptoms observed in patients with intellectual disability syndromes can make diagnosis difficult. Here, we report a new genetic intellectual disability syndrome in 8 patients characterized by moderate to severe intellectual disability, delayed verbal and motor milestones, and hypotonia. All patients have pathogenic variants in TTC5, a scaffold protein linked to many cellular processes; most notably DNA acetylation. Brain imaging revealed structural brain defects including a thin corpus callosum and cerebral atrophy with dilated lateral ventricles and simplified gyral pattern. These cornerstone clinical features can be used to prioritize this syndrome for diagnosis. (https://jmg.bmj.com/content/early/2020/05/21/jmedgenet-2020-106849 )
Bi-allelic TTC5 variants cause delayed developmental milestones and intellectual disability (Contributed by Dr. Ashleigh E Schaffer)
(Visited 440 times, 1 visits today)
